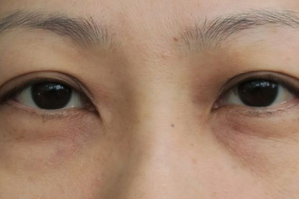
5 Cara Alami Menghilangkan Kantung Mata Atau Mata Panda
Info Kesehatan - Kantung mata terkadang menganggu penampilan atau membuat wajah kusam, apalagi saat kantung mata semakin dalam atau hitam. Pada umumnya, penyebab mata panda ini karena kurangnya waktu tidur, mata lelah, alergi, dehidrasi, dan banyak lainnya. Namun, tak usah khawatir karena mata panda bisa diatasi dengan bahan yang aman dan alami.
Karena hal-hal sepele atau kebiasaan yang tidak kita sadari menyebabkan kantung mata menghitam, cara mengatasinya pun juga harus mengubah hal-hal sepele yang buruk tersebut. Berikut 5 cara menghilangkan mata panda tanpa obat.
1. Pakai irisan timun
Timun memiliki kandungan air yang banyak sehingga bisa melembabkan mata secara alami, sehingga mengatasi kantung mata akan sangat ampuh. Irislah mentimun dan tempelkanlah di mata sambil tiduran agar tidak jatuh. Diamkan selama 20-30 menit dan jangan lupa rileks.
2. Jangan begadang
Sering tidur malam atau tidak beristirahat cukup bisa menyebabkan mata panda, lho. Karena mata kamu lelah, kantung mata bisa menghitam dan tebal. Untuk menghilangkannya, maka jangan tidur terlalu larut dan biarkan mata beristirahat. Inilah salah satu cara paling simpel.
SahabatQQ: Agen DominoQQ Agen Domino99 dan Poker Online Aman dan Terpercaya
3. Pijat perlahan area mata
Agar terlihat lebih segar dan cerah, lakukanlah teknik pijat mata secara perlahan. Penumpukan cairan juga tidak lagi menumpuk di kantung mata. Saat dipijat, otot akan kembali aktif dan yang tadinya lemah akan lebih kuat karena jaringan perlahan kembali normal.
4. Banyak minum air
Adanya penumpukan lemak dan racun bisa juga jadi salah satu penyebab kantung mata menebal, maka minum banyak air adalah solusinya. Air putih membantu mengeluarkan racun dan membuat area sekitar mata lebih cerah, serta racun dan kulit di seluruh tubuh bisa lebih bersinar. SahabatQQ
5. Kompres air dingin
Terakhir, coba mengompres area bawah mata dengan kompres air dingin tapi jangan langsung terpapar es. Gunakan beberapa lapisan agar dinginnya tidak langsung terkena ke mata. Kantung mata yang membesar akibat pembuluh darah membesar bersifat hangat, maka untuk mengecilkannya dengan menggunakan sesuatu yang dingin.
Itulah tadi lima cara menghilangkan kantung mata alias mata panda secara alami. Coba terapkan cara-cara di atas secara rutin dan lihat hasil perubahannya nanti. Selamat mencoba! Agen Domino99







Post a Comment